
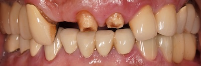
Dental Implant Restorations and Single Implant Placement


We understand that missing teeth can change the way you live your life. Maybe you hesitate before smiling in photos. Maybe chewing your favorite foods isn’t as easy or enjoyable anymore. Or maybe you’ve been relying on a denture that just doesn’t feel quite right. Whatever your story, at Lifted Dentistry, we’re here to help you rise above it, with modern dental implants.
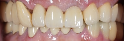
Dental implants are more than just a tooth replacement option. They’re a new way of smiling. Strong, secure, and designed to last for decades, implants give you back what you’ve lost, without the hassle of traditional tooth replacements. Call us to get started on this premier tooth replacement option.

Training and Expertise
Dr. Albert Park brings advanced implant expertise through training with renowned educators Dr. Justin Moody (Implant Pathway) and Dr. Tomas Linkevičius (Zero Bone Loss Concepts). Using the innovative Zero Bone Loss Concepts, Dr. Albert Park focuses not just on placing implants, but on creating teeth that look, feel, and function as naturally as possible.
During your consultation at Lifted Dentistry, Dr. Park will assess your health and bone to determine the best plan of action. Our goal is to make this process feel personal and pressure-free. We will walk you through your options, explain the steps, and help you decide what feels right for you.

Our Commitment
At Lifted Dentistry, our commitment is to be your guide through the entire process. From your first visit to the moment your new tooth is in place, we’re with you every step of the way—making things clear, keeping things simple, and supporting you even if complications arise. You’re never on your own here.
Dental implants do more than fill a gap—they give you back your smile, your confidence, and the freedom to live without holding back. It’s just one more way we deliver dental care that helps you live your best life.
Dental Implants: Frequently Asked Questions
- Are dental implants painful?
- How long do dental implants last?
- If I have been missing a tooth for years, can I still get an implant?
- Can implants replace multiple teeth?
Are dental implants painful?
Most patients say the discomfort is minimal and similar to a routine dental procedure. Local anesthesia and sedation options help keep you comfortable during placement, and recovery is usually smooth.
How long do dental implants last?
With proper care, like brushing, flossing, and regular checkups, implants can last a lifetime. Their restorations last around 10–15 years with proper care.
If I have been missing a tooth for years, can I still get an implant?
Yes! Even if it’s been a long time, dental implants may still be an option. We’ll evaluate your bone health and may recommend that you receive a bone graft.
Can implants replace multiple teeth?
Absolutely. Implants can support bridges or even full dentures, depending on how many teeth you’re missing. You don’t need one implant per tooth in most cases.









